치아가 점점 길어져요, 잇몸 내려앉음 어떻게 막을 수 있나요?
작성자 정보
- 관리자 작성
- 작성일
컨텐츠 정보
- 160 조회
- 목록
본문
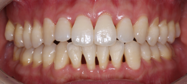
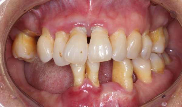
많은 환자분들이 치주 질환으로 내원하시면서 말씀하시는 내용 중 하나가 치아가 점점 길어지고 치아 사이에 구멍이 뻥 뚫린 것처럼 치아 사이에 검은 점이 생겼다 말씀을 주십니다.
하지만 치아가 영양을 섭취해서 길이가 자랄 일은 없고 갑자기 하루아침에 구멍이 생기는 일은 없습니다.
우리의 잇몸 속은 치아가 빠지지 않게 단단히 지탱해 주는 치조골과 신경, 치아 뿌리가 자리하고 있는데요.
만약 이 잇몸뼈가 녹게 된다면 잇몸이 내려앉아 앞서 말씀드렸던 것처럼 치아가 길어진 것 같고 구멍이 난 것처럼 느껴지실 수 있습니다.
그렇다면 이 치조골은 왜 녹아서 잇몸 내려앉음 현상이 나타나게 되는 걸까요?
우리가 음식을 섭취하다 보면 구강에는 타액과 세균이 서로 융합이 되면서 플라크라고 하는 얇은 세균 막이 켜켜이 쌓이게 되는데요.
![]()
이때 이 플라크가 제대로 제거되지 않고 음식물과 섞여 단단하게 굳어지게 되면 쉽게 제거되지 않는 단단한 세균 덩어리로 바뀌게 되는데 이를 치석이라고 합니다.
또 우리의 치아와 잇몸은 완전히 밀착되어 있는 구조가 아니라 치은 열구라고 하는 미세한 틈이 있는데요
만약 치석이 제거되지 않았을 경우에 치석은 이 틈을 빠르게 파고들고 주위의 반경 2mm의 잇몸뼈를 녹여버립니다.
이런 현상이 개선되지 않고 계속 반복되면 점점 잇몸 내려앉음이 발생하고 튼튼하게 잇몸뼈를 지지해 주던 잇몸뼈가 녹아내려 치아도 약해지고
심한 경우엔 발치를 하게 되는 것인데요. 이렇게 치석이 깊게 침투한 상태에서 스케일링을 받아도 치아 표면인 겉만 청소가 될 뿐 잇몸 속은 여전히 치석이 가득 차 있어 아무리 양치를 꼼꼼히 해도 잇몸 염증이 낫지 않고 잇몸 내려앉음이 발생하게 되는 겁니다.
그럼 잇몸 내려앉음이 더 이상 진행되지 않도록
막으려면 잇몸 속 치석을 제거하는 것이
가장 첫 번째로 해야 할 치료가 되겠죠?
그러나 기존의 치료 방법들은 메스로 잇몸을 절개를 해서 수기구로 치석을 제거하는 방식이라 통증과 회복 기간도 상당하게 발생하는데
더 위험한 것은 잇몸뼈가 공기 중에
노출되면 뼈가 녹는 속도가 훨씬 빠르고
잇몸이 약해지기 때문에 좋은 결과를
기대하기는 어렵습니다.
그렇다면 잇몸 속 치석을 방치하고
잇몸 내려앉음이 발생하는데도
손 놓고 기다려야 하는지
마음이 안 좋으실 텐데요.
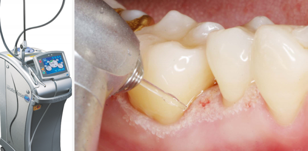
물방울레이저로 치아와 잇몸 사이의 틈에 에너지를 주사해 그 어떤 절개나 봉합 없이 제거를 도와드립니다.
물방울 레이저란 물 분자에 레이저 열을 담은 치료 기기인데요
일반 레이저와는 달리 물방울 분자가 열을 식히고 줄여주기 때문에 출혈과 통증을 현저하게 줄여
부기도 현격하게 완화시키고 물방울레이저가 출시되자마자 사용을 시작해 모든 치료에 접목 시키면서
기술을 향상시켜 진료 수준을 높이게 되었습니다.
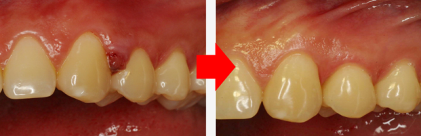
치료 전과 치료 후는 이렇게 달라집니다.